Patient Info
First Name
Muthumari
Last Name
M
Age
23
Address
Mobile
6382618917
Phone
e mail
Treatment
Medical History
Dental History
Details
Date of visit
Total [Payments]: 8,000
1301
Date of visit04/04/2023
C/C & Rx plans
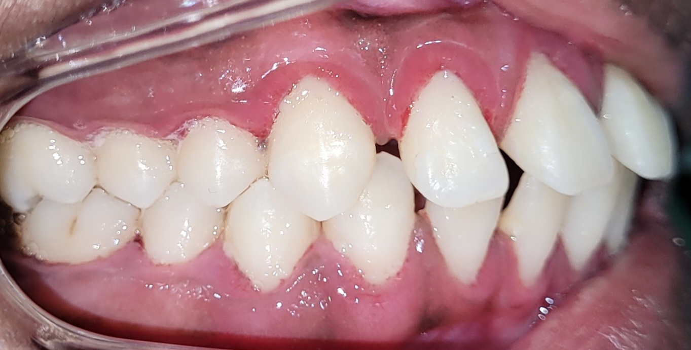
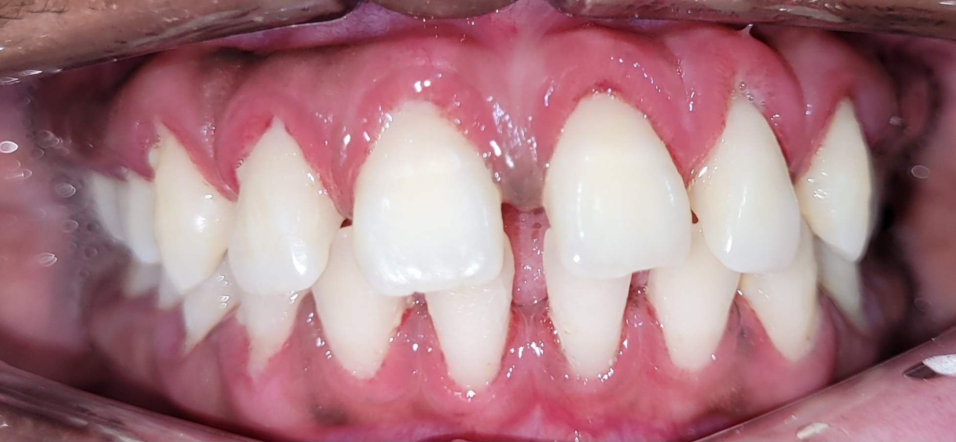
TreatmentsU/L 014 NITI
Prescription
Payment2,000.00
Balance8,000.00
Follow up date
Lab
1300
Date of visit02/04/2023
C/C & Rx plans
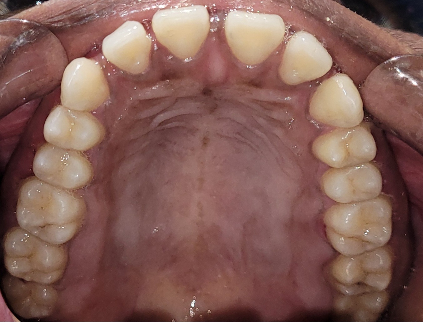
TreatmentsU/L brackets fixed with molar bands
Prescription
Payment6,000.00
Balance
Follow up date
Lab
Pictures
Images
Appointment Details
Time
Appointment Date








