Patient Info
First Name
Girivikas
Last Name
S
Age
15
Address
Rajagopal nagar 3rd street west
Mobile
9003350692
Phone
e mail
Treatment
Medical History
Dental History
Details
Date of visit
Total [Payments]: 1,500
192
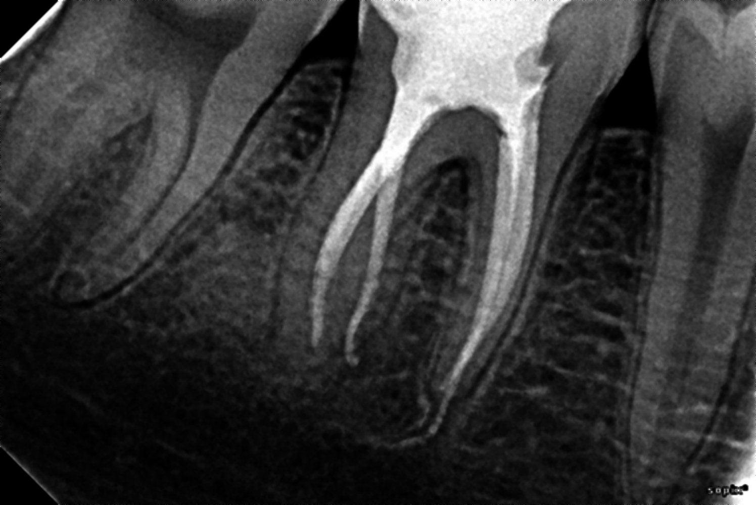
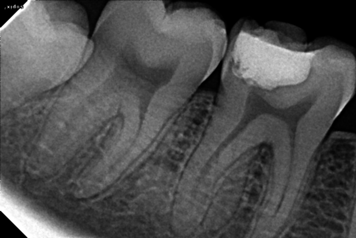
Date of visit11/01/2022
C/C & Rx plans
Treatments46 rct done
bioseramic sealer
radix
Prescription
Payment1,500.00
Balance
Follow up dateAfter 6 months
Lab
Pictures
Appointment Details
Time
Appointment Date


