Patient Info
First Name
Atchaya shruti
Last Name
S
Age
13
Address
38 A/1 Mela shanmuga puram
Mobile
9715032389
Phone
e mail
Treatment
Medical History
Dental History
Details
Date of visit
Total [Payments]: 5,000
92
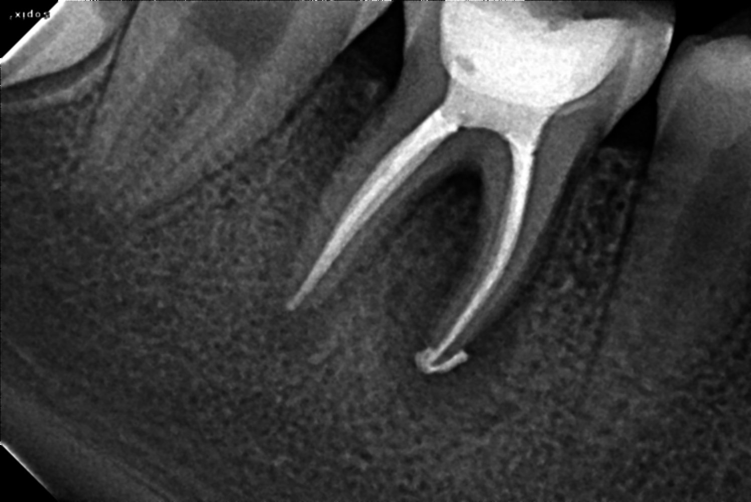
Date of visit25/11/2021
C/C & Rx plans
Treatmentsobturation done
bioceramic sealer
composite filling
Prescription
Payment1,500.00
Balance
Follow up dateafter 2 month
Lab
77
Date of visit18/11/2021
C/C & Rx plansnon vital
Treatmentsacess opened 46
MB 17.5 ML 17 (4 % 25)
DB 17 DL 18.5 (6 % 25)
Prescriptiondolokind plus 6 bd for 3 days
Payment3,500.00
Balance1,500.00
Follow up date
Lab
Pictures
Appointment Details
Time
10 AM
Appointment Date
25/11/2021


