Patient Info
First Name
Vasanthi
Last Name
T
Age
62
Address
76 bagampriyal street
Mobile
9894640548
Phone
e mail
Treatment
Medical History
Dental History
Details
Date of visit
Total [Payments]: 2,650
65
Date of visit14/11/2021
C/C & Rx plans
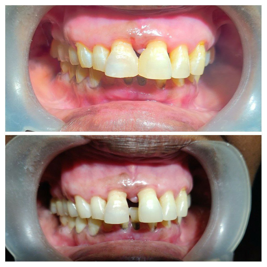
TreatmentsComposite buildup done to close space
Prescription
Payment2,400.00
Balance
Follow up date
Lab
64
Date of visit13/11/2021
C/C & Rx plansPathological migration
Adv for composite buildup
Treatments
Prescription
Payment250.00
Balance
Follow up date
Lab
Pictures
Appointment Details
Time
Appointment Date

