Patient Info
First Name
Ramesh
Last Name
V
Age
30
Address
36/3 type 2 camp 2
Annalmin nagar
Mobile
8870262429
Phone
e mail
Treatment
Medical History
Dental History
Details
Date of visit
Total [Payments]: 3,000
198
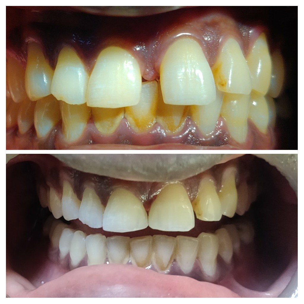
Date of visit13/01/2022
C/C & Rx plans
Treatmentsdiastema closure with composite
Prescription
Payment3,000.00
Balance
Follow up date
Lab
Pictures
Appointment Details
Time
Appointment Date

